IMPORTANCE OF NGS IN THE DIAGNOSIS OF CONGENITAL ANEMIAS

Autores:

Afiliaciones:

Comunicación:

Antecedentes:

Hereditary congenital hemolytic anemias are a group of very rare and heterogeneous disorders caused by alterations in structure, transport functions, enzymathyc metabolism or hemoglobin estructure of red blood cells (RBC). These disorders represent a group of diseases of dificult diagnosis with clasic methods. This diagnosis is crucial for clinical management from early age (for example newborns). The advent of next generation sequencing (NGS) technologies make these new approaches useful tools to investigate the genetic basis, make correct diagnosis and, in sometimes, identify new entities.

Métodos:

In the Spanish group of Eritropatologia (GEE), we have designed an NGS panel in which we have analyzed the mutations in the exons and part of the introns in different genes (ABCB6, ABCG5, ABCG8, ADA, AHSP, AK1, ALAS2, ALDOA, ANK1, ATP11C, ATRX, BCL11A, BPGM, c15orf41, CD59, CDAN1, CYB5A, CYB5R3, EGLN1, EPAS1, EPB41, EPB42, EPOR, G6PD, GATA1, GCLC, GLRX5, GPI, GPX1, GSR, GSS, GYPC, HK1, HMOX1, HSPA9, KCNN4, KIF23, KLF1, LPIN2, NT5C3A, PFKFB1, PFKM, PGK1, PIEZO1, PKLR, PRDX2, RHAG, SEC23B, SLC25A38, SLC2A1, SLC4A1, SPTA1, SPTB, STOM, TPI1, UGT1A1, VHL and XK) involved in congenital anemias, as congenital dyserythropoietic anemia (CDA), Diamond -Blackfan anemia, hemolytic anemias due to erythrocyte membrane defects, as hereditary spherocytosis and stomatocytosis and hemolytic anemias due to enzymatic defects using AMPLISEQ technology (Illumina).

Resultados:

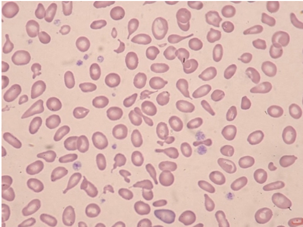
We present the case of a 3-year-old Senegalese boy that was referred to our hospital for neonatal jaundice, severe anemia and required blood transfusion. The blood test revealed microcytic regenerative anemia with hemoglobin levels of 60 gr/L, increase of hemolysis markers and a negative direct antiglobulin test. A peripheral smear examination showed severe anisopoikylocytosis with fragmented erythrocytes, spherocytes and ovalocytes consistent with hereditary membrane disorder (figure 1). The routine laboratory convencional techniques were normal or inconclusive (capillary electrophoresis, enzymatic assays of glucose-6-phosphate dehydrogenase/pyruvate kinase, RBC osmotic fragility and eosin-5'-maleimide flow cytometry test). We performed next-generation sequencing (NGS) in a panel of 40 genes involved in congenital anemias. DNA sequencing revealed compound double heterozygous for mutant α-spectrin SPTA1 (Arg28His) and homozygous αLELY polymorphism (low expression α-spectrin allele), with a final diagnosis of Hereditary Pyropoikilocytosis (HPP). The Arg28His mutation was originally reported in a family of French descent and later in a Tunisian family. This mutation is due to a CAT-to-CGT change in codon 22, in exon 2 of the SPTA1 gene (which encodes amino acids 3 to 82 of the alpha-I domain). The defect resulted in decreased ability of the spectrin dimers to self-associate (elliptocytogenic α-spectrin chain). When αLELY polymorphism is present (affecting 20–30% of the population), and it is also present in trans (both mutations in different alpha-chain alleles), the propensity of the normal allele to associate with the corresponding beta-chain diminishes, favouring the attachment of the elliptocytogenic alpha-spectrin allele. In HPP, clinical severity correlates with the amount of mutant spectrin and excess of spectrin dimer in the red cell membrane. The phenotype improves with age, probably due to γ/β globin gene switching and a decrease of red blood cell 2,3-diphosphoglycerate.

Conclusiones:

Hereditary membrane erythrocyte disorder is a rare cause of neonatal jaundice and anemia. HPP was originally described in 1975 as a distinct hemolytic anemia characterized by microspherocytosis, poikilocytosis, and an unusual thermal sensitivity of red cells due to spectrin disruption. Spectrin skeleton maintains cell membrane integrity and its mechanical properties and support cell shape. HPP was originally described in 1975 as a distinct hemolytic anemia characterized by microspherocytosis, poikilocytosis, and an unusual thermal sensitivity of red cells. HPP is a subset of hereditary elliptocytosis due to homozygous or compound heterozygous mutations in spectrin, leading to severe disruption of spectrin self-association. The spectrin network is formed approximately by 100,000 hexagons, whose sides are formed by spectrins (blue and red), and their vertices (yellow) by actin and other proteins (figure 2A). In hereditary elliptocytosis (heterozygosity), about half of the spectrins don´t bind correctly in the association zone and the skeleton is deformed, the molecules loosen and rearrange themselves in a position of less tensional stress, so that the shape of the skeleton and the cell are modified (figure 2B). In homozygous or double heterozygous elliptocytosis, all spectrins are elliptogenic (they have an abnormal association zone that produces a mismatch in all the junctions of the skeleton), leading to severe disruption of spectrin self-association (figure 2C). Hereditary membrane erythrocyte disorder is a rare cause of neonatal jaundice and anemia. This case highlights the importance of correlating erythrocyte morphology, the clinical course, and molecular analysis in cases of non-immune hemolytic jaundice. The finding of elliptocytogenic spectrin variants can predict the clinical course in these kind of patients. Typically, when mutation in SPTA1 is associated with αLELY in trans, the patients present transfusion needs in infancy, but the phenotype improves later in life. Our case also illustrates that, despite the presence of the allele αLELY in homozygous, the clinical phenotype is similar to cases with trans presentation previously reported, and this clinical behavior supports the diagnosis of HPP rather than Hereditary Elliptocytosis alone.


Image 1 Image 2

Dirección

Campus de Ciencias de la Salud
Carretera Buenavista s/n, 30120 El Palmar
Murcia, España

Ver en OpenStreetMap

Ver en Google Maps